Un injerto de encía está indicado en aquellos casos en que los dientes
muestran la raíz a causa de encías retraídas.
El Injerto consiste en una interveción quirúrgica con anestesia local.
Se utilizan técnicas de microcirugía, en la mayor parte de los casos,
tomamos encía del paladar para posteriormente injertarla en la zona donde vamos
a cubrir la raíz.
El cubrimiento de la raíz consigue múltiples objetivos:
·
Proteger el diente con encía nueva adherida que le
aísla del exterior.
·
Previene que la retracción de la encía se
haga más pronunciada.
·
Reduce o elimina el exceso de sensibilidad.
·
Reduce la susceptibilidad a la caries.
·
Mejora la apariencia estética.
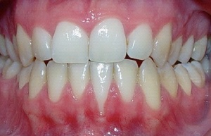
Ejemplo de injerto de encía libre en incisivos inferiores
![]() |
| Recesión encía en incisivo inferior |
![]() |
| Injerto realizado |
Ejemplo de injerto de encía libre en incisivos inferiores

